Sorrisos Incríveis em Canoas com Ortodontia fixa, Invisalign e Lentes de Resina
A Dra. Amanda Viecilli (CRO-RS 18864) transforma saúde e beleza em sorrisos naturais, harmônicos e duradouros. Quer saber mais sobre:
- Invisalign em Canoas
- Aparelho ortodôntico em Canoas (metálico e estético – porcelana e safira)
- Lentes de contato dentais (Lentes de Resina)
- Clareamento dental em Canoas

Sobre a Dra. Amanda Viecilli
Especialista em ortodontia e alta experiência em estética dental

Com mais de 15 anos de experiência em Ortodontia e Estética Dental, a Dra. Amanda Viecilli já transformou mais de 2.500 sorrisos. Reconhecida internacionalmente e Top Doctor Platinum Invisalign, une ciência, estética e cuidado humano em cada tratamento.
Nossas Especialidades
Transforme seu sorriso com tratamentos modernos de Ortodontia, Invisalign e Estética Dental:

A Dra. Amanda é a Dentista Ortodontista de Canoas que une atendimento especializado em estética, promovendo um alinhamento do sorriso com várias opções de tratamento, para adultos e crianças.
Transforme seu sorriso com tratamentos modernos de Ortodontia, Invisalign e Estética Dental:
Valores e Tratamentos
Transparência e confiança para você escolher o melhor tratamento odontológico em Canoas

Consulta Odontológica em Canoas
Primeira avaliação completa + plano de tratamento personalizado.
Consulta para Aparelho Ortodôntico em Canoas
- Aparelho metálico
- Aparelho estético
- Aparelho de porcelana
- Aparelho safira
- Acompanhamento mensal
Invisalign em Canoas
Mais conforto, previsibilidade digital e discrição.
Excelência Clínica
Diferenciais da Dra. Amanda Viecilli

Experiência e autoridade
Mais de 15 anos de prática clínica e formação internacional em Ortodontia.
Tecnologia
de ponta
Invisalign, ortodontia digital e aparelhos invisíveis em Canoas.
Estética
natural
Lentes de resina e clareamento.
Atendimento humanizado
Planos flexíveis, cuidado próximo e ambiente acolhedor.
Especialista
Certificações e Reconhecimentos

Formação Internacional na Itália
Biomechanics School
Top Doctor Platinum Invisalign
Excelência global em alinhadores invisíveis
Tradutora de Livros de Ortodontia
Obras de referência mundial
Agende sua consulta em Canoas
Atendimento especializado em Ortodontia, Invisalign e Estética Dental em Canoas.
Transforme o seu sorriso com quem une ciência, tecnologia e cuidado humano.
Horário de Atendimento
Segunda à sexta – 08h às 18h
Demais horários: podemos flexibilizar para você!
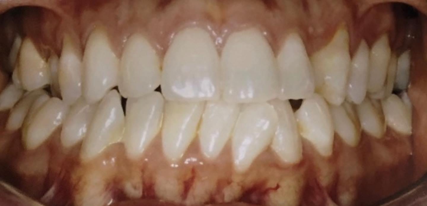
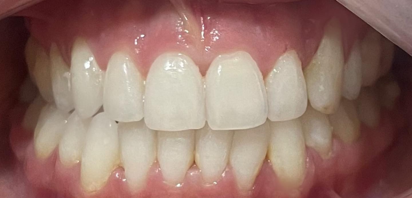
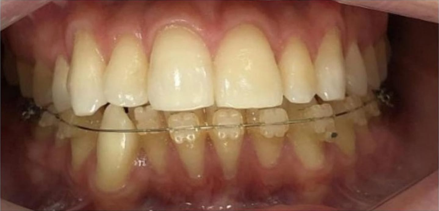
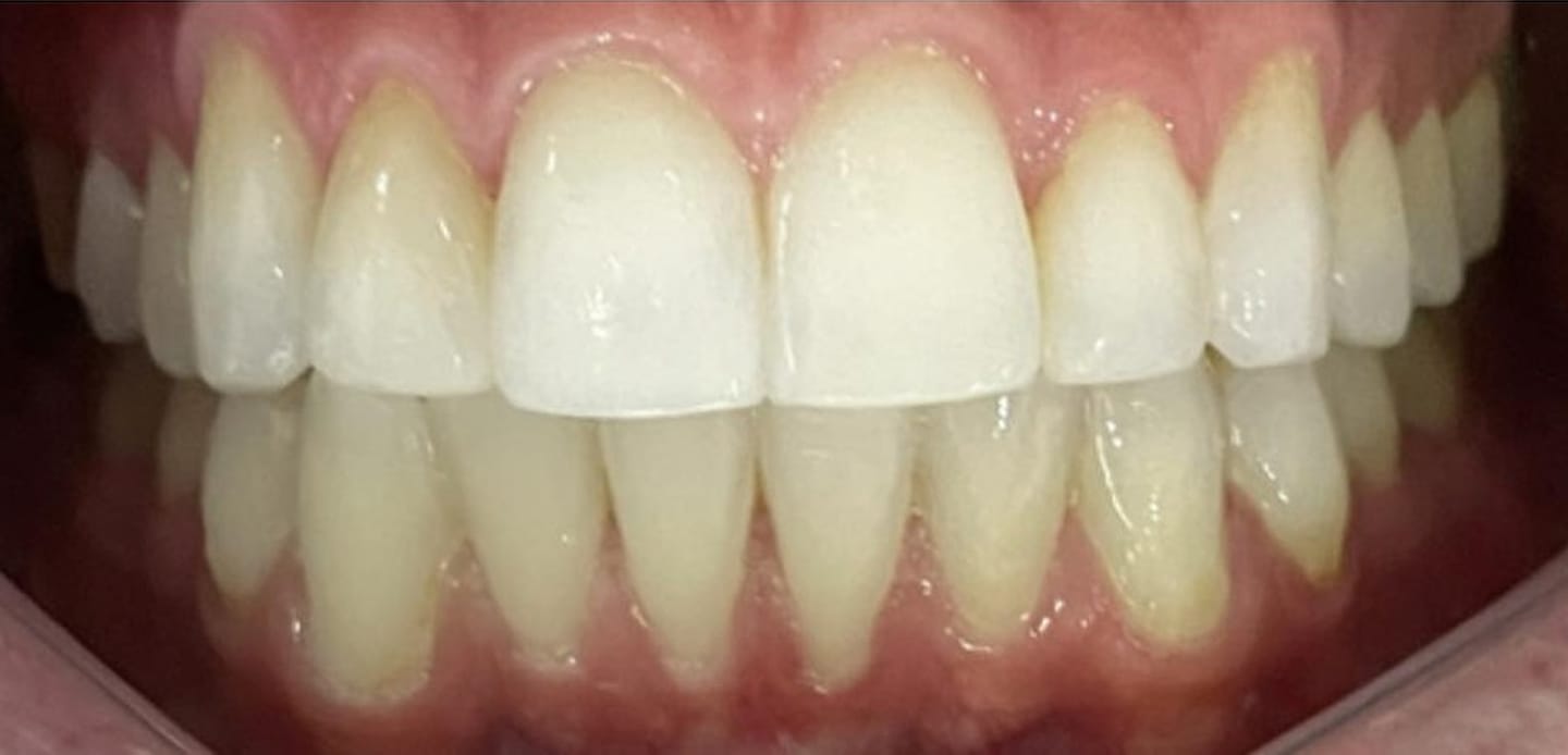
Transformações reais
Antes e depois de sorrisos reais









Depoimentos
O que dizem nossos pacientes



A Dra Amanda é muito atenciosa, faz tudo com muito profissionalismo e carinho pelo paciente. Indicou muito!

Adorei a consulta. A Dr. Entendi muito, e indica o melhor tratamento de acordo com a necessidade de cada um.

“Coloquei meu aparelho ortodôntico com a Dra Amanda e também fiz lentes de resina. Estou muito satisfeito. Recomendo. Melhor dentista de Canoas

Atendimento top com tratamento ortodôntico mais especializado Invisalign de Canoas! Dra. Amanda é maravilhosa! 🩵💚 Amamos!

A Dra. Amanda é muito atenciosa e o consultório é muito bonito e aconchegante. Coloquei meu aparelho ortodôntico Invisalign com ela e estou amando. Com certeza é a melhor ortodontista de Canoas!! Indico e assino embaixo!

Ortodontista maravilhosa! Dra Amanda super cuidadosa e atenciosa tanto com o meu aparelho ortodôntico, quanto no invisalign da minha filha!! Excelente opção em Canoas!! Gratidão ter te encontrado!!

Super recomendo a doutora Amanda. Excelente profissional e muito querida. Atendimento humanizado, com carinho e atenção. Sem contar a Nati, que também é uma querida.

Baita profissional, dedicada e comprometida em fazer o melhor para seu paciente.

A Amanda é muito atenciosa e flexível, sempre disposta a ouvir o paciente, com tratamento personalizado e humanizado, ao longo do processo se torna uma grande amiga, vinha de muitos dentistas ruins, maioria deles de planos de saúde, sem resultados efetivos e cada vez com mais com a saúde bucal em declínio, com o suporte da Amanda e da Nati, resolvemos inúmeros problemas, coloquei aparelho ortodôntico, prótese dentária, tratamentos médicos e agora faremos clareamento e refinamentos estéticos, tudo com alto nível de atendimento e produtos, e um custo acessível e flexível, serei eternamente grato. Sucesso sempre Amanda.

Excelente profissional! Dra. Amanda é muito capacitada e querida. Super delicada, cuidadosa e atenciosa. As instalações são ótimas.

Excelente profissional! O atendimento da Dra. Amanda foi impecável, demonstrando competência, atenção e cuidado. Recomendo seus serviços a todos que buscam uma dentista de confiança e qualidade. Minha experiência foi extremamente positiva!

Dra. Amanda é uma querida, sempre com um sorrisão, e é uma excelente profissional, confio totalmente e recomendo.

Dra. Amanda e Dra. Nati são excelentes profissionais, muito atenciosas e detalhistas. Recomendo muito.!

Atendimento com muita atenção, carinho e cuidado! Me sinto super segura nas instruções que a Dra me passa para os devidos cuidados com a minha saúde bucal! Indico de olhos fechados!

A Amanda é uma excelente profissional, sempre fui muito bem atendido e nunca saí de lá com alguma dúvida que ela não soubesse explicar!

Adoro o atendimento da Dra. Amanda, profissional excelente! Estou muito satisfeita com meu tratamento!

Estou fazendo tratamento há um ano e estou super satisfeita com os resultados até agora. A Dra. Amanda sabe muito, e isso me deixa confiante e tranquila. Ela e a secretária Nati são umas queridas. Recomendo!

Tudo de maravilhoso! Capacidade profissional, responsabilidade. Gentil, educada, alegre, funcionárias de bem com a vida. Super recomendo.

sempre tive muito medo de dentista, fiquei anos sem fazer revisão, mas lá me sinto em casa. recomento!

Eu gosto muito de vir aqui, o atendimento é ótimo e o serviço de excelente qualidade. As secretárias sempre nos recepcionaram bem e a dra. Amanda é muito legal!

Excelente atendimento, corrigi o posicionamento dos meus dentes no Instituto e gostei muito do resultado. Hoje em dia vou para revisões e para levar minha filha ao Odontopediatra, que ela adora.

Eu sempre tive receio de dentista, mas aqui eu perdi esse medo, de tão bem que me atenderam! Na clínica tem tudo, eu usei um aparelho praticamente invisível chamado Invisalign e (nem sabia que existia, é muito tecnológico) e depois coloquei um implante pra substituir um dente que eu perdi quando era adolescente. Na clínica tem todas as especialidades de dentista, e tem inclusive Rx panorâmico e convênio com estacionamento. Recomendo pra todo mundo!
Blog da Dra. Amanda
Artigos e novidades


Facetas de Porcelana vs Lentes de Resina em Canoas: descubra qual é a melhor opção para o seu sorriso
O comparativo Facetas de Porcelana vs Lentes de Resina em Canoas ajuda a entender custo, durabilidade e estética de cada tratamento. Descubra qual é o ideal.

Invisalign em Canoas: transforme seu sorriso com alinhadores invisíveis
O Invisalign em Canoas é a solução ideal para quem busca alinhar os dentes sem abrir mão da estética. Conheça os benefícios e como funciona esse tratamento.

Odontopediatria em Canoas: descubra como o dentista infantil protege a saúde bucal das crianças
A Odontopediatria em Canoas garante prevenção, diagnóstico precoce e tratamento adequado para crianças. Conheça os cuidados essenciais oferecidos pela Dra. Amanda Viecilli.

FAQ Odontologia em Canoas: tire suas principais dúvidas sobre tratamentos dentários
O FAQ Odontologia em Canoas reúne as perguntas mais frequentes sobre ortodontia, Invisalign, lentes de resina, clareamento, bruxismo, saúde bucal e prevenção.

Lentes de Resina em Canoas: transforme seu sorriso com estética natural
O tratamento com Lentes de Resina em Canoas é uma alternativa estética rápida e acessível para corrigir imperfeições no sorriso. Saiba como funciona e quais os benefícios.

Cuidados com o Aparelho Ortodôntico em Canoas: dicas essenciais para manter seu tratamento em dia
Os Cuidados com o Aparelho Ortodôntico em Canoas são fundamentais para garantir eficiência no tratamento e evitar problemas como cáries, quebras e atrasos nos resultados.