Transformações Reais
Antes e depois de sorrisos transformados
- Transformações com Invisalign


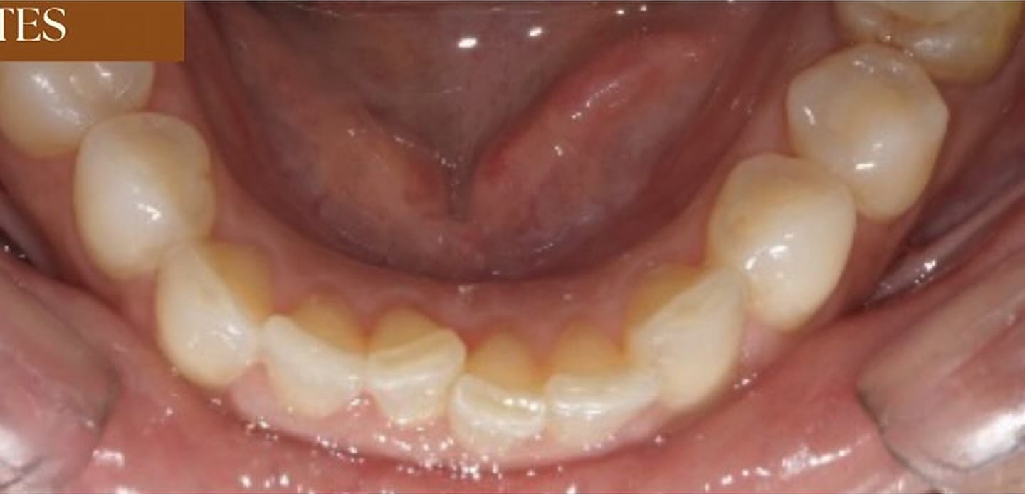
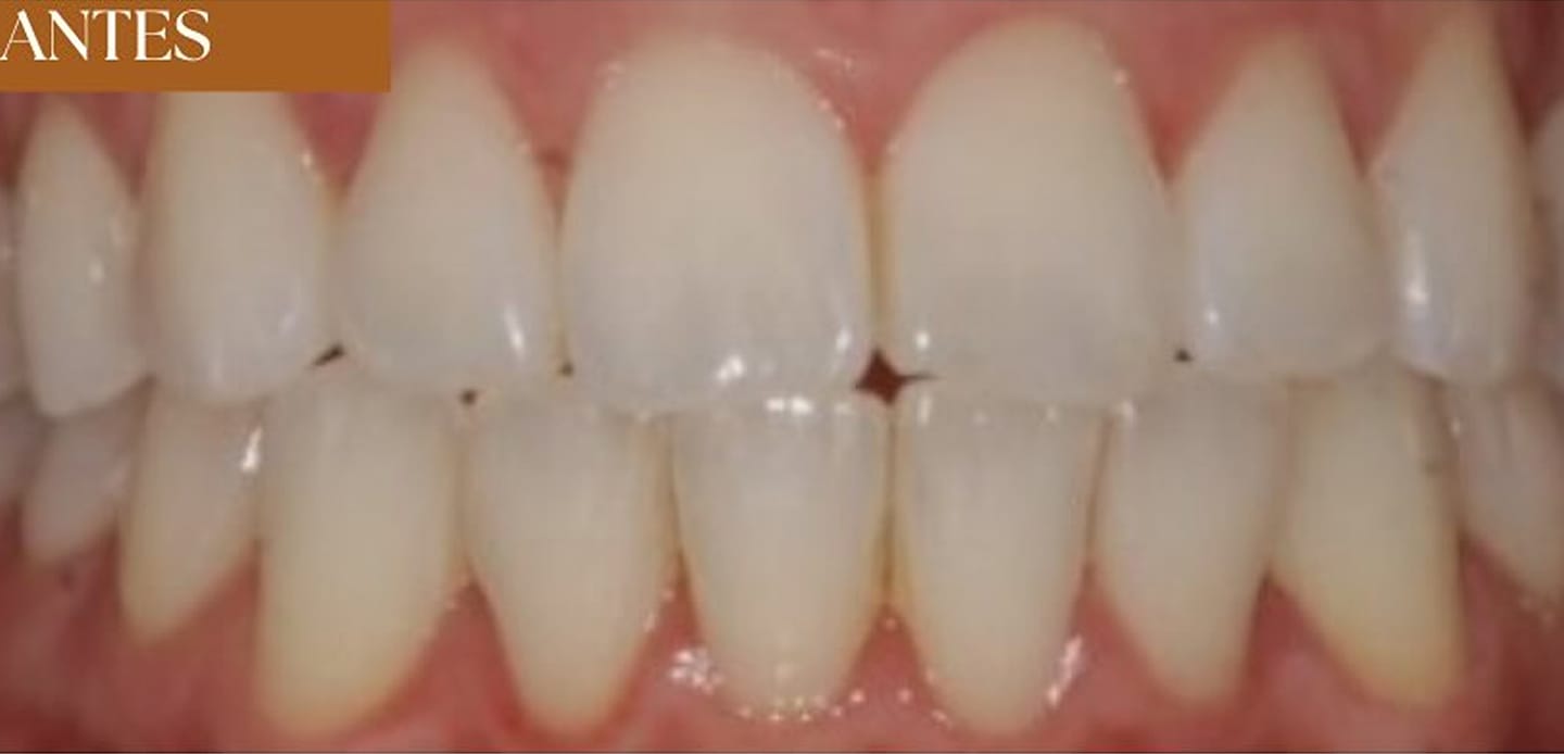
Antes
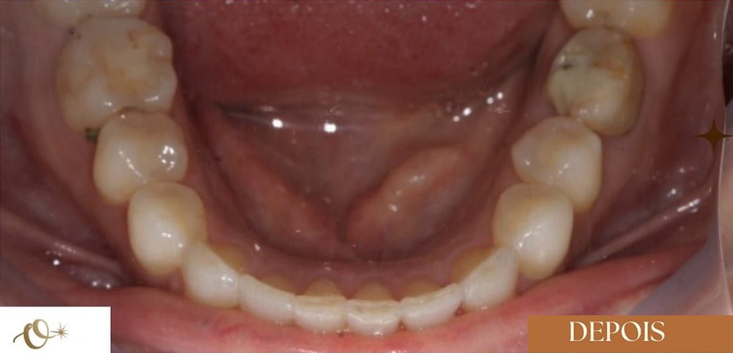
Depois


Antes
Depois


Antes
Depois


Antes
Depois


Antes
Depois


Antes
Depois
- Transformações com Resina Composta


Antes
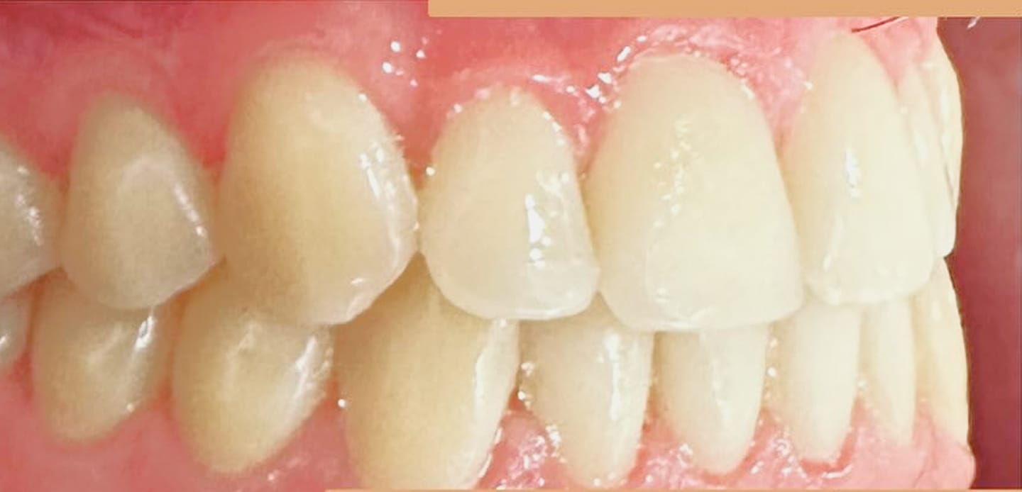
Depois


Antes
Depois


Antes
Depois


Antes
Depois


Antes
Depois


Antes
Depois


Antes
Depois


Antes
Depois
- Ortodontia Fixa


Antes
Depois


Antes
Depois
- Clareamento


Antes
Depois
- Transformações Combinadas




Cada sorriso é único, por isso muitas vezes o melhor resultado vem da combinação de técnicas.
Unimos Invisalign, resinas e reanatomização para entregar estética e funcionalidade no mesmo tratamento.
Redes Sociais
Acompanhe a Dra. Amanda no Instagram
Veja de perto os bastidores da clínica, novidades sobre tratamentos e transformações reais de sorrisos. Siga e inspire-se diariamente com conteúdos exclusivos.
369
Posts
5.5K
Followers
Dra. Amanda Viecilli| Ortodontia e Lentes de Resina em Canoas
🎓Especialista, Mestre em Ortodontia e Invisalign Doctor com Formação Internacional
🦷Sorriso belo e natural com Facetas de Resina Composta e Ortodontia


